วันที่ 11 มีนาคม. 2569 เวลา 08:38 น.
11 มีนาคม 2569 นพ.มนูญ ลีเชวงวงศ์ แพทย์เฉพาะทางด้านโรคระบบการหายใจ โรงพยาบาลวิชัยยุทธ โพสต์ข้อความผ่านเฟซบุ๊ก ระบุ ผู้ป่วยชายอายุ 56 ปี มีไข้ต่ำๆ 2 สัปดาห์เบื่ออาหาร กินอาหารไม่อร่อย น้ำหนักลด 2 กิโลกรัม ไม่ปวดท้อง ไม่ได้เดินทาง ไม่กินอาหารดิบๆสุกๆ ไม่กินเหล้าไม่สูบบุหรี่ เป็นโรคเบาหวาน ตรวจร่างกายอุณหภูมิ 38.5 องศาเซลเซียส คลำท้อง ตับไม่โต ไม่เจ็บ
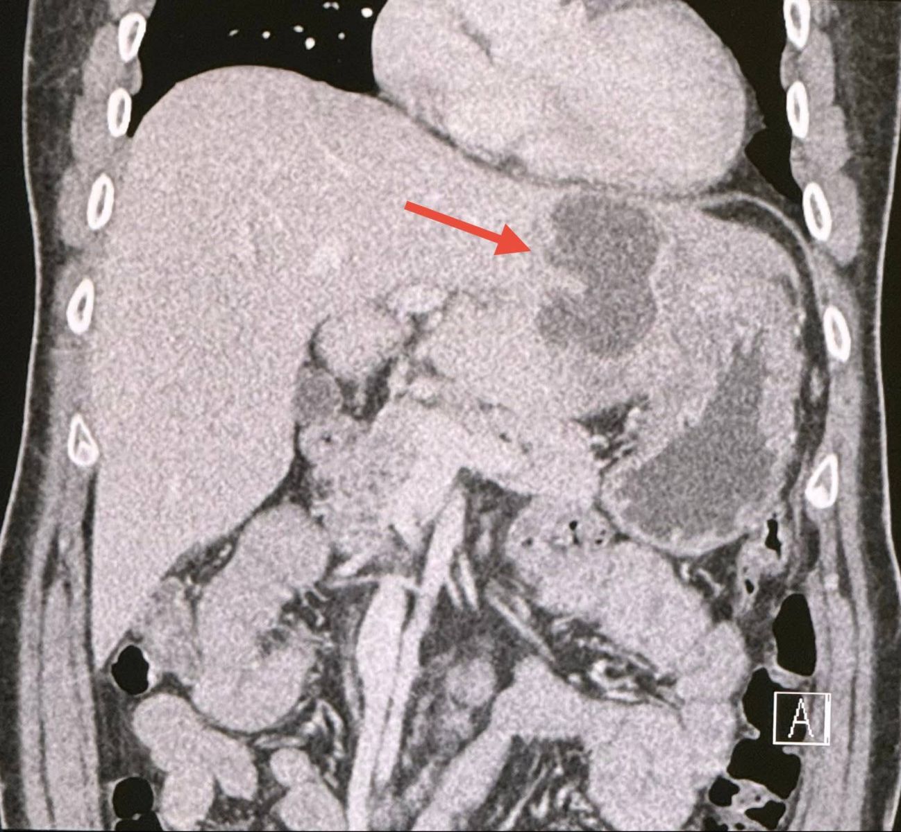
เจาะเลือด เม็ดเลือดขาวในเลือดสูง 15,050 ค่า alkaline phosphatase สูง 564 ส่งเลือดเพาะเชื้อ ไม่ขึ้นเชื้อแบคทีเรีย ทำอัลตราซาวด์ช่องท้อง สงสัยฝีในตับข้างซ้ายขนาด 5.2 × 4 เซนติเมตร ทำคอมพิวเตอร์ช่องท้อง เห็นฝีขนาดใหญ่ในตับด้านซ้ายขนาด 6.6 × 4.3 เซนติเมตร (ดูรูป)
วินิจฉัย: ฝีในตับขนาดใหญ่ในคนที่เป็นโรคเบาหวาน
ทำการเจาะฝีในตับ ได้หนองข้นสีเหลือง 70 ซีซี (ดูรูป) ใส่สายระบายหนอง (ดูรูป) คาไว้ 5 วัน ถอดสายเมื่อไม่มีหนองไหลออกมาอีก เพาะเชื้อจากหนองในตับขึ้นเชื้อแบคทีเรีย Klebsiella pneumoniae ไวต่อยา Ceftriaxone และยา Levofloxacin ให้ยาปฏิชีวนะ Ceftriaxone ทางเส้นเลือดตั้งแต่วันแรกที่เข้านอนในรพ. ไข้ลง กินอาหารได้มากขึ้น อยู่โรงพยาบาล 7 วัน ให้กลับบ้านได้นัดมาฉีดยา Ceftriaxone วันละครั้งอีก 2 สัปดาห์ หลังจากนั้นเปลี่ยนเป็นยากิน คงต้องให้การรักษาฝีในตับด้วยยาปฏิชีวนะอย่างน้อย 2 เดือน




19 เมษายน 2569
19 เมษายน 2569
19 เมษายน 2569
19 เมษายน 2569