วันที่ 7 กรกฎาคม 2568 เวลา 12:29 น.
7 กรกฎาคม 2568 นพ.มนูญ ลีเชวงวงศ์ หัวหน้าห้องไอซียูเฉพาะทางด้านโรคระบบการหายใจ ผู้ป่วยหนัก และโรคผู้สูงอายุ ประจำโรงพยาบาลวิชัยยุทธ โพสต์เฟซบุ๊ก หมอมนูญ ลีเชวงวงศ์ FC เปิดเผยเคส ผู้ป่วยหญิงอายุ 58 ปีมาโรงพยาบาลด้วยเวียนศีรษะ อาเจียน ปวดหัวบริเวณท้ายทอย เดินเซ พูดไม่ชัด 40 นาที ก่อนมารพ.ไม่มีแขนขาอ่อนแรง ไม่ชา เป็นโรคความดันโลหิตสูง กินยาลดความดัน แต่ควบคุมความดันได้ไม่ดี วัดความดันในห้องฉุกเฉินสูงมาก 220/110 ไม่มีไข้ ตรวจร่างกาย ตื่น รู้ตัว แขนขาไม่อ่อนแรง
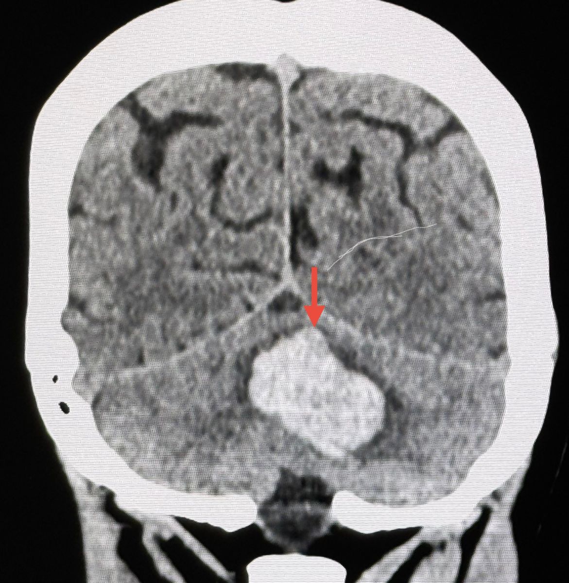
พบมีเลือดออกขนาด 3.5 × 4.5 × 3.2 เซนติเมตร ในสมองส่วน cerebellum หรือสมองน้อยซึ่งเป็นส่วนหนึ่งของสมองที่อยู่บริเวณท้ายทอย ยังไม่มีภาวะโพรงสมองคั่งน้ำ ตรวจเลือดการทำงานของไตปกติ วัดระดับฮอร์โมน metanephrine และ normetanephrine ในเลือดปกติ อัลตราซาวด์ไม่พบเนื้องอกต่อมหมวกไต ไม่พบโรค Pheochromocytoma
วินิจฉัย : ภาวะเลือดออกในสมองน้อยเฉียบพลัน (Acute intracerebellar hemorrhage) จากหลอดเลือดในสมองแตกเนื่องจากความดันโลหิตสูงมาก ทำให้มีเลือดออกในเนื้อสมองอย่างเฉียบพลัน ภาวะนี้เป็นภาวะฉุกเฉินรุนแรง และอาจนำไปสู่ความพิการหรือเสียชีวิตได้ ให้ยาลดความดันทางหลอดเลือดทันที ให้ยาฉีด mannitol ลดความดันในกระโหลกศีรษะจากภาวะสมองบวม ปรึกษาศัลยแพทย์ประสาทแนะนำไม่ต้องผ่าตัด ติดตามอาการใกล้ชิดในไอซียู คนไข้ดีขึ้นช้าๆ พูดชัดขึ้น ความดันควบคุมได้ดี เปลี่ยนเป็นยากิน ทำคอมพิวเตอร์สมองซ้ำ 3 วันต่อมา เลือดไม่ออกเพิ่มขึ้นที่ cerebellum ย้ายออกจากห้องไอซียูได้ ให้ยาลดความดันชนิดกินต่อไป การทรงตัวดีขึ้น ยังเดินเซๆ พูดชัดแล้ว ไม่ปวดศีรษะ ทำกายภาพฝึกเดินต่อไป ทำคอมพิวเตอร์สมองซ้ำ 2 สัปดาห์ต่อมา พบบริเวณที่เลือดออกในสมองน้อย cerebellum ลดลงมาก คุมความดันได้ดี 120/80 กลับบ้านได้ 16 วันหลังเข้ารักษาใน รพ.

13 พฤษภาคม 2569
13 พฤษภาคม 2569