วันที่ 23 มิถุนายน 2568 เวลา 11:47 น.
23 มิถุนายน 2568 นายแพทย์มนูญ ลีเชวงวงศ์ แพทย์เฉพาะทางด้านโรคระบบการหายใจ ผู้ป่วยหนัก โพสต์ข้อความผ่านเฟซบุ๊ก หมอมนูญ ลีเชวงวงศ์ FC ระบุว่า ผู้ป่วยชายอายุ 40 ปี มาโรงพยาบาลวันที่ 9 มิถุนายน 2568 ด้วยอาการปวดศีรษะด้านซ้ายเกิดขึ้นขณะยกน้ำหนัก ไม่มีอ่อนแรง ไม่มีชา ไม่มีคลื่นไส้ ไม่อาเจียน ตามองเห็น หูได้ยิน ไม่มีโรคประจำตัว ตรวจร่างกาย ความดันปกติ แขนขาไม่อ่อนแรง หน้าไม่เบี้ยว
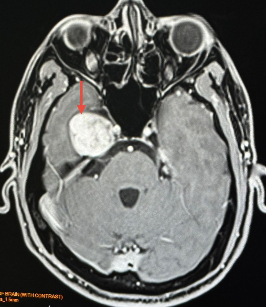
ทำคอมพิวเตอร์ CT สมองพบก้อนขนาด 2.7 × 3.0 × 2.9 เซนติเมตร ที่กลีบขมับของสมองด้านขวา right temporal lobe ทำ MRI (Magnetic Resonance Imaging) โดยใช้คลื่นแม่เหล็กไฟฟ้าและคลื่นวิทยุความถี่สูงและฉีดสี พบก้อนขนาด 3.1 × 2.9 × 2.9 เซนติเมตร สงสัย Trigeminal Schwannoma เนื้องอกของปลอกประสาทเส้นประสาทสมองเส้นที่ 5 ข้างขวา
อาการปวดศีรษะหายเอง ไม่ปวดอีกเลย ผู้ป่วยมีเนื้องอกในสมอง ตรวจเจอโดยบังเอิญจากการทำคอมพิวเตอร์สมอง
ปรึกษาศัลยแพทย์ประสาท แนะนำไม่ต้องผ่าตัด ให้ฉายแสง เพื่อทำให้เนื้องอกเล็กลง
Trigeminal Schwannoma คือเนื้องอกชวานโนมาที่เกิดจากเซลล์ชวานน์ (Schwann cells) ซึ่งเป็นเซลล์ที่ทำหน้าที่สร้างเยื่อไมอีลินที่ห่อหุ้มเส้นประสาท โดยเนื้องอกชนิดนี้เกิดขึ้นบริเวณเส้นประสาทไทรเจมินอล ซึ่งเป็นเส้นประสาทสมองเส้นที่ 5 เนื้องอกชนิดนี้พบน้อยมากๆ ส่วนใหญ่เป็นเนื้องอกไม่ร้ายแรง (benign) โตช้า รักษาด้วยการผ่าตัด หรือฉายแสง



18 ธันวาคม 2568
18 ธันวาคม 2568