วันที่ 11 กรกฎาคม 2567 เวลา 16:41 น.
11 กรกฎาคม 2567 นพ.มนูญ ลีเชวงวงศ์ แพทย์เชี่ยวชาญด้านระบบการหายใจและผู้ป่วยหนัก ยกเคสผู้ป่วยติดเชื้อแบคทีเรีย Klebsiella pneumonia ขึ้น พร้อมเตือนเพื่อให้รักษาสุขภาพให้แข็งแรง โดยเคสติดเชื้อนี้เป็นผู้ป่วยหญิง อายุ 84 ปี เป็นโรคหอบหืด มีไข้สูง 2 วัน หนาวสั่น สับสน ไม่ปวดท้อง ไม่ไอ มาโรงพยาบาล วันที่ 15 มิ.ย.67 พบว่าความดันโลหิตต่ำ 77/44 มม.ปรอท อุณหภูมิ 40 องศาเซลเซียส หัวใจเต้นเร็ว 130 ครั้งต่อนาที ต้องรับเข้าห้องไอซียูทันที
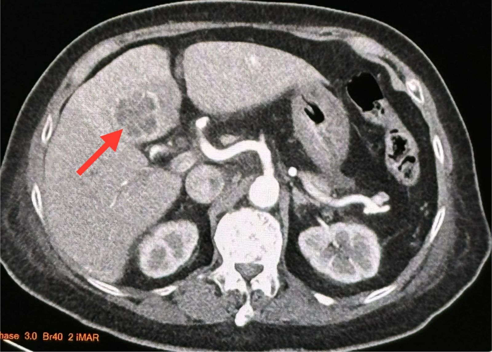
หมอมนูญ เปิดเผยด้วยว่า ผลตรวจร่างกาย มีไข้สูง ฟังปอดปกติ คลำท้องไม่เจ็บ ตับไม่โต เจาะเลือด เม็ดเลือดขาวในเลือดสูง 29,300 ค่าเอนไซม์ตับสูงเล็กน้อย SGOT 87, SGPT 73 ทำอัลตราซาวด์ช่องท้องด้านบน พบก้อนในตับข้างซ้ายขนาด 2.8 × 2.4 × 2.4 เซนติเมตร ส่งเลือดเพาะเชื้อ ขึ้นเชื้อแบคทีเรีย Klebsiella pneumoniae เอกซเรย์คอมพิวเตอร์ช่องท้อง 2 วันต่อมา พบก้อนขนาด 3.3 × 3.3 × 2.8 ซม.ในตับข้างซ้าย เข้าได้กับฝีในตับ
แพทย์วินิจฉัยว่า ป่วยเป็นฝีในตับ จากเชื้อแบคทีเรีย Klebsiella pneumoniae และติดเชื้อในกระแสเลือด ทำให้ช็อก ความดันต่ำ การรักษาให้น้ำเกลือ ยากระตุ้นความดันโลหิต และ ยาปฏิชีวนะ ceftriaxone (ทดสอบแล้วในห้องปฏิบัติการว่าเชื้อตัวนี้ไวต่อยา) ทางหลอดเลือดดำ ได้ทำการเจาะหนองจากฝีในตับผ่านทางหน้าท้อง ได้หนอง 2 ซีซี ส่งหนองเพาะเชื้อขึ้นเชื้อ Klebsiella pneumoniae ตัวเดียวกับในเลือด
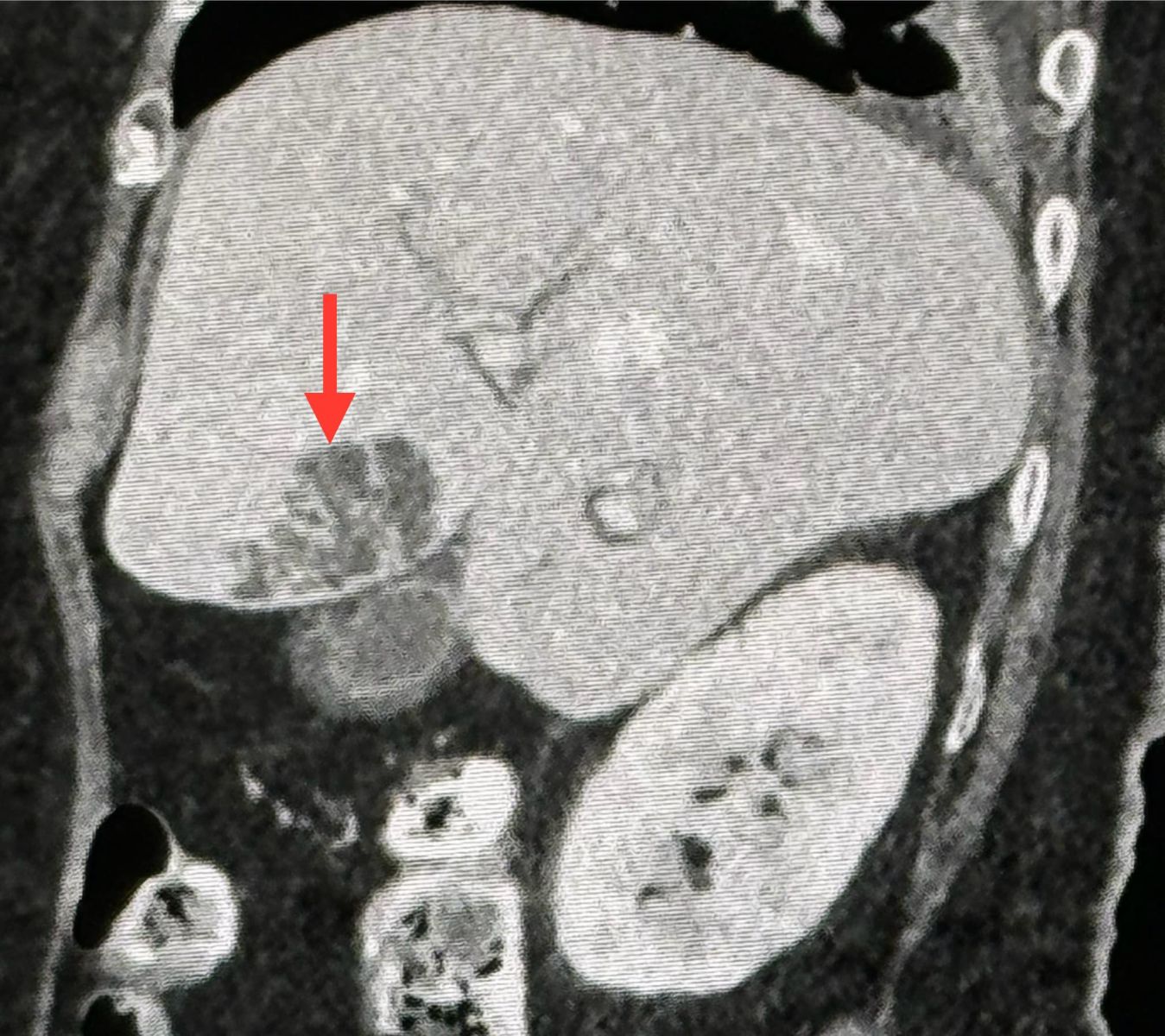
หลังได้ยาปฏิชีวนะทางหลอดเลือดดำ คนไข้อาการดีขึ้น ไข้ลดลง ความดันกลับมาเป็นปกติ ไม่ปวดท้อง ติดตามด้วยการอัลตราซาวด์ของช่องท้องด้านบน 18 วัน หลังได้ยาปฏิชีวนะ พบฝีมีขนาดเล็กลงเหลือ 2.1 × 1.9 เซนติเมตร
"หลังได้ยาปฏิชีวนะทางหลอดเลือดดำใน รพ. 3 สัปดาห์ กลับบ้านได้ ให้ยาปฏิชีวนะชนิดรับประทานอย่างน้อยต่ออีก 3 สัปดาห์ และจะติดตามคอมพิวเตอร์ช่องท้องอีกครั้งหลังได้ยาปฏิชีวนะครบแล้ว ซึ่งคนไข้รายนี้เป็นผู้สูงอายุ ป่วยหนักมาก จากฝีในตับและติดเชื้อแบคทีเรีย Klebsiella pneumoniae ในกระแสเลือด โชคดีมาโรงพยาบาลเร็ว นอนรักษาใน รพ. 3 สัปดาห์กลับบ้านได้
โพสต์นี้ของหมอมนูญ ได้มีผู้ติดตามเฟซบุ๊กสอบถามถึงสาเหตุที่ทำให้ติดเชื้อ ซึ่งหมอมนูญเข้ามาคอมเมนต์ ตอบว่า ไม่ทราบว่าติดเชื้อมาอย่างไร พร้อมแนะนำให้รักษาสุขภาพให้ดีเพื่อป้องกันการติดเชื้อ

