วันที่ 4 กรกฎาคม 2567 เวลา 13:53 น.
4 กรกฎาคม 2567 นพ.มนูญ ลีเชวงวงศ์ แพทย์เชี่ยวชาญด้านระบบการหายใจและผู้ป่วยหนักแจ้งเตือนผ่านเฟซบุ๊กส่วนตัวถึงการป่วยติดเชื้อวัณโรค พร้อมยกเคสผู้ป่วยชาย อายุ 39 ปี มีบ้านพักอยู่ในกรุงเทพมหานคร มาพบแพทย์หลังมีไข้ ไอมีเสมหะ นานประมาณ 1 สัปดาห์ คนไข้ให้ประวัติว่า ไอแต่ไม่มีไอเป็นเลือด ไม่เจ็บหน้าอก เหนื่อยบ้าง ไม่เบื่ออาหาร ไม่มีเหงื่อออกกลางคืน น้ำหนักไม่ลด ไม่เคยป่วยเป็นวัณโรค และไม่อยู่ใกล้ชิดกับคนที่เป็นวัณโรค ปกติเป็นคนแข็งแรงดี ไม่มีโรคประจำตัว เคยติดโควิดแล้ว 1 ครั้ง
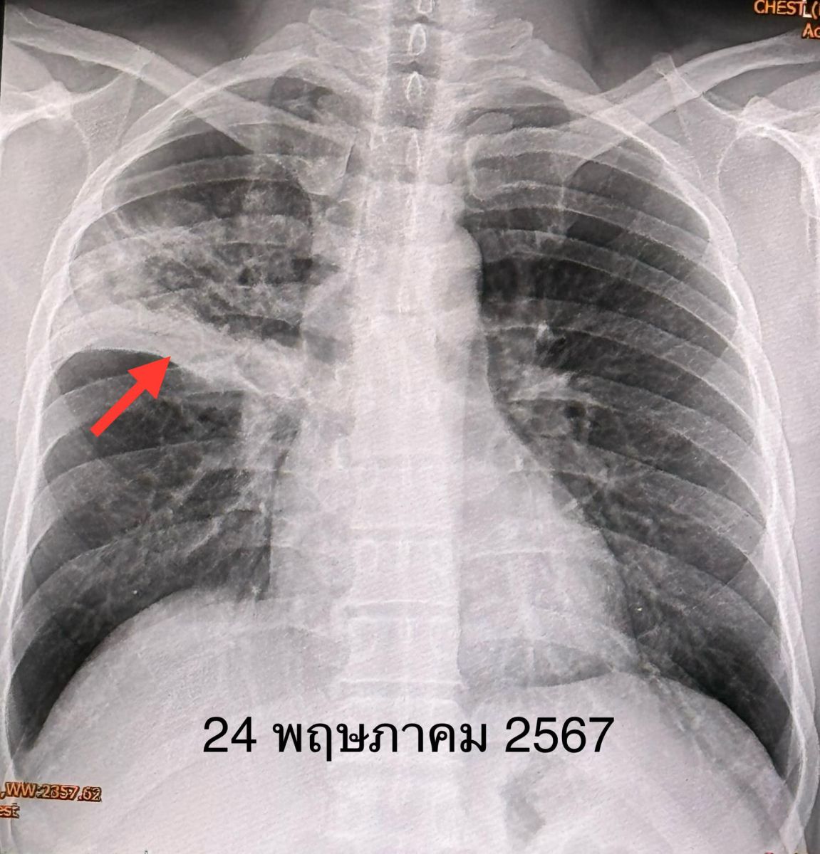
ผลการตรวจร่างกาย อุณหภูมิ 38.5 องศาเซลเซียส น้ำหนัก 88 กิโลกรัม ต่อมน้ำเหลืองที่คอไม่โต ฟังปอดปกติ เอกซเรย์ปอดมีฝ้าขาวที่ปอดข้างขวาด้านบน ตรวจเลือดไม่พบติดเชื้อ HIV ส่งเสมหะย้อมเชื้อหาวัณโรค AFB smear ให้ผลบวก ส่งเสมหะตรวจรหัสพันธุกรรมของเชื้อวัณโรค พบเชื้อวัณโรค M.tuberculosis ไม่ดื้อยา rifampicin ได้ผลในเวลาไม่กี่ชั่วโมง
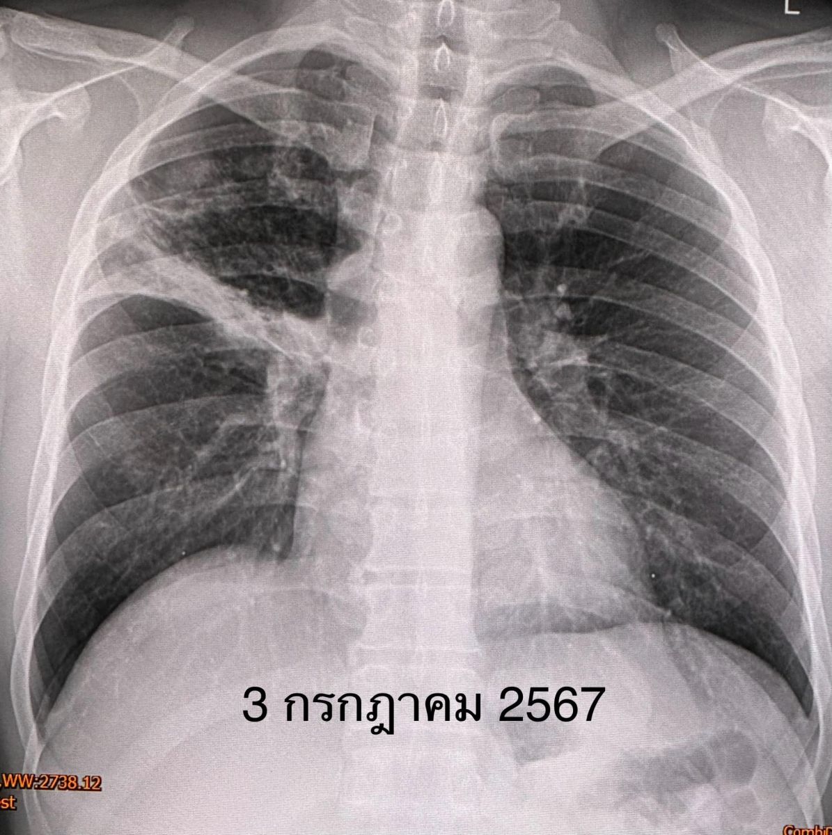
แพทย์วินิจฉัย ว่าเป็นวัณโรคปอด เริ่มยารักษาวัณโรค 4 ขนานคือ INH, rifampicin, pyrazinamide, ethambutol และวิตามิน B6 ผู้ป่วยกินยาได้ ไม่แพ้ยา หลังกินยาไข้ลง ไม่ไอ ไม่มีเสมหะ ผลเพาะเชื้อวัณโรค 1 เดือนต่อมา ขึ้นเชื้อวัณโรค M.tuberculosis ไวต่อยารักษาวัณโรคทุกตัว เอกซเรย์ปอดหลังได้รับยา 5 สัปดาห์ ฝ้าขาวที่ปอดข้างขวาด้านบนดีขึ้น ต้องให้ยารักษาวัณโรค 4 ขนานต่อไปจนครบ 2 เดือน แล้วลดยาเหลือ INH, rifampicin และวิตามิน B6 รับประทานต่อไปจนครบ 6 เดือน
"ผู้ป่วยรายนี้ปกติแข็งแรงดี ไม่มีโรคประจำตัว อายุไม่มาก รูปร่างสูงใหญ่น้ำหนัก 88 กิโลกรัม ติดเชื้อและป่วยเป็นวัณโรคโดยไม่ทราบว่ารับเชื้อวัณโรคจากใคร วัณโรคเป็นโรคติดต่อระหว่างคนสู่คน ติดต่อทางการหายใจ คนที่แข็งแรงดีอย่างผู้ป่วยรายนี้ก็ยังป่วยเป็นวัณโรคได้"
.jpg)
.jpg)
7 ธันวาคม 2568
7 ธันวาคม 2568