วันที่ 1 กรกฎาคม 2567 เวลา 14:42 น.
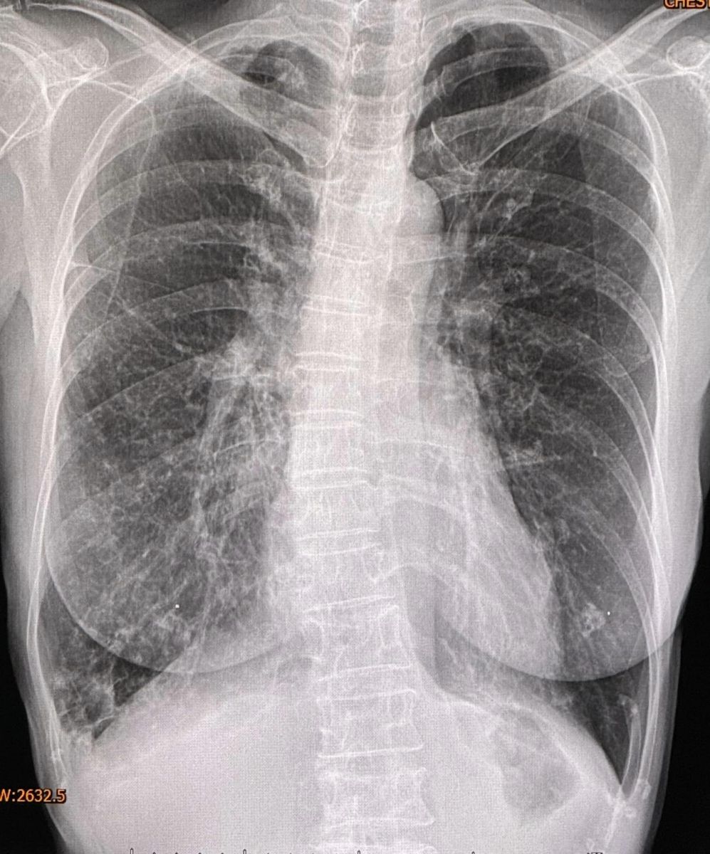
1 กรกฎาคม 2567 เพจเฟซบุ๊ก หมอมนูญ ลีเชวงวงศ์ FC โพสต์ภาพเอ็กซเรย์ปอดของคนไข้รายหนี่ง พร้อมระบุข้อความว่า "ผู้ป่วยหญิงอายุ 64 ปี บ้านอยู่จังหวัดเพชรบูรณ์ ปกติแข็งแรงดี เริ่มมีไข้ ไอ มีเสลดข้นเหนียวกลางวันกลางคืน เหนื่อย 4 วัน ไม่มีน้ำมูก ไม่เจ็บคอ ตั้งแต่วันที่ 16 เมษายน 2567 ตรวจไม่พบโควิด ไปรักษาที่โรงพยาบาลใกล้บ้าน ได้ยาปฏิชีวนะ ไข้ลง แต่ยังไอมีเสลดมาก น้ำหนักลด 3 กิโลกรัม เคยติดโควิดแล้ว 1 ครั้ง ไม่สูบบุหรี่ มา รพ.วิชัยยุทธวันที่ 30 เมษายน 2567 งานอดิเรกทำสวน ปลูกต้นไม้ ใส่ปุ๋ยคอกทำจากมูลวัวเทรอบต้นไม้ในเนื้อที่ 1 ไร่ 60 ถุง ทุก 2 เดือน ทำมา 1 ปีกว่าแล้ว
จากการตรวจร่างกาย ฟังปอดมีเสียงผิดปกติทั้ง 2 ข้าง เอกซเรย์ปอดผิดปกติเข้าได้กับหลอดลมโป่งพองทั้ง 2 ข้าง (ดูรูป) ทำคอมพิวเตอร์ปอดเห็นหลอดลมโป่งพองในปอดทั้ง 2 ข้าง (ดูรูป) ส่งเสมหะย้อมเชื้อหาวัณโรค AFB smear ให้ผลบวก วินิจฉัย: โรคหลอดลมโป่งพอง สงสัยติดเชื้อวัณโรค หรือวัณโรคเทียม จึงให้ยา INH,rifampicin,ethambutol รักษาวัณโรค ร่วมกับ azithromycin รักษาวัณโรคเทียม 2 สัปดาห์ หลังกินยาดีขึ้น หยุดไอ ไม่มีเสมหะ ผลเพาะเชื้อขึ้นเชื้อวัณโรคเทียม 3 ชนิด คือ M.fortuitum, M. intracellulare และ M. gordonae เมื่อทราบผลเพาะเชื้อได้หยุดยาทุกชนิดก่อน ขอเก็บเสมหะอีกครั้งแต่เก็บไม่ได้ เพราะไม่มีเสมหะ แนะนำให้หยุดการเทปุ๋ยรอบต้นไม้ในสวน
ผู้ป่วยรายนี้คงติดเชื้อวัณโรคเทียม 3 ชนิด จากการหายใจเชื้อโรคลอยขึ้นมาในอากาศเวลาเทปุ๋ยคอกลงบนพื้นดิน มีการศึกษาในประเทศสหรัฐอเมริกา ตรวจพบเชื้อวัณโรคเทียมหลายชนิดลอยขึ้นมาในอากาศในห้องปฏิบัติการเวลาเทปุ๋ยดินปลูก (Potting Soils) ซึ่งเป็นสินค้าขายในท้องตลาดลงบนพื้น คนไข้รายนี้มีเชื้อวัณโรคเทียม 3 เชื้อในเสมหะเหมือนที่แยกจากละอองลอยจากดินปลูกในห้องปฏิบัติการในประเทศสหรัฐอเมริกา
คนทั่วไปที่ปอดปกติ เมื่อหายใจเชื้อวัณโรคเทียมเข้าไป ไม่ก่อให้เกิดโรค แต่คนที่มีโรคปอด เช่นมีโรคหลอดลมโป่งพอง เคยป่วยเป็นวัณโรค ควรหลีกเลี่ยงไม่อยู่ในบริเวณที่คนกำลังเทปุ๋ยลงบนพื้นดิน หรือเทปุ๋ยลงบนพื้นดินด้วยตัวเอง ถ้าต้องเทปุ๋ยลงบนพื้นดินด้วยตัวเอง ต้องใส่หน้ากากป้องกันเชื้อโรค เช่น N95 เพื่อป้องกันหายใจเชื้อวัณโรคเทียมที่ลอยขึ้นมาในอากาศเข้าปอด เพราะทำให้เกิดโรคได้อย่างผู้ป่วยรายนี้"


