วันที่ 3 มิถุนายน 2567 เวลา 10:53 น.
อุทาหรณ์ป่วยเพราะนกพิราบ! หมอมนูญ เผยเคสป่วยปอดอักเสบติดเชื้อรา ไม่สูบบุหรี่ ไม่มีโรคประจำตัว ซักประวัติอึ้ง "ให้อาหารนกพิราบประจำ"
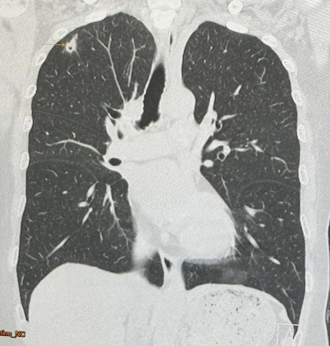
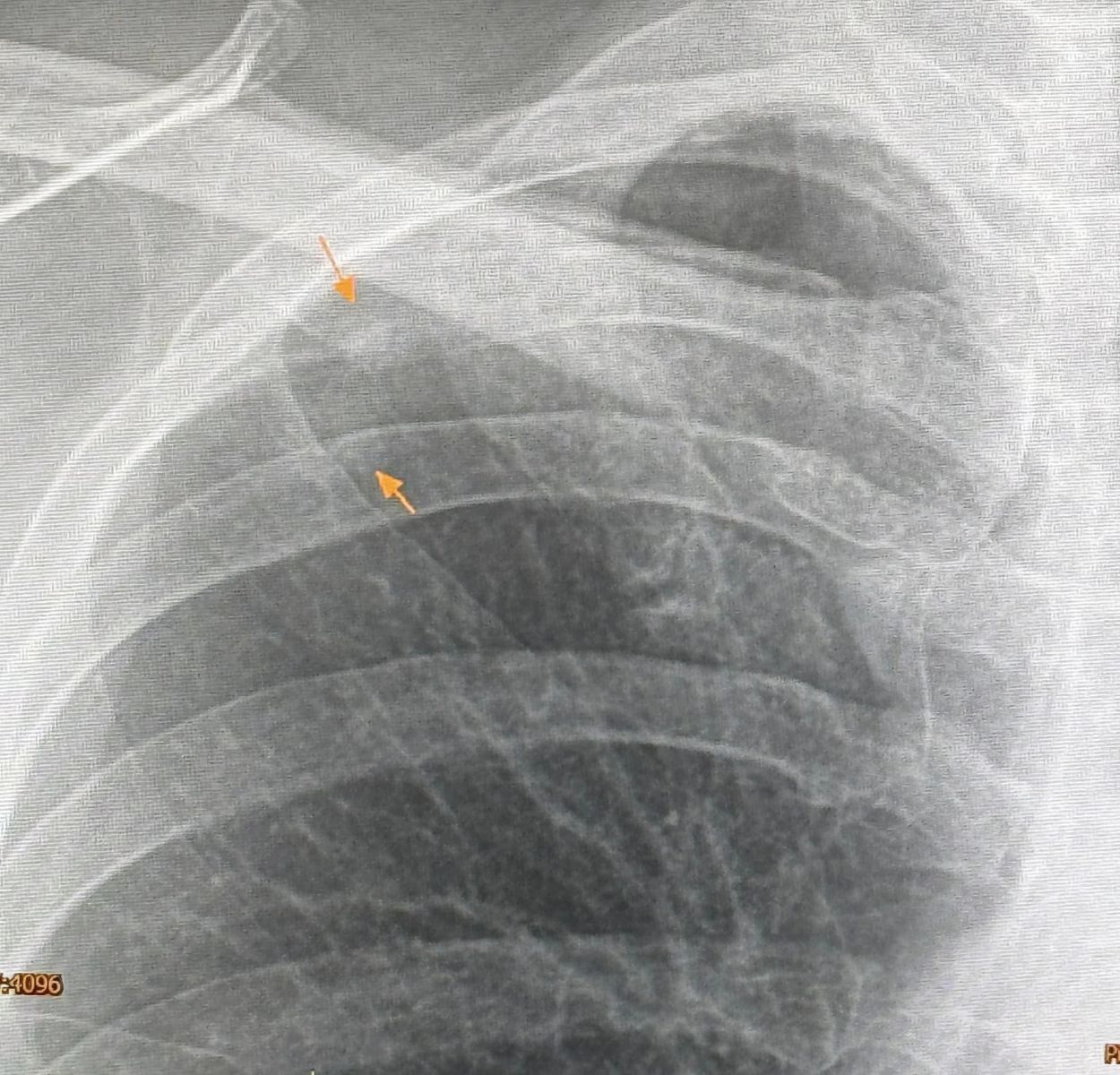
3 มิ.ย. 2567 นพ.มนูญ ลีเชวงวงศ์ ผู้เชี่ยวชาญด้านโรคระบบทางเดินหายใจ ได้โพสต์เฟซบุ๊กระบุว่า "ผู้ป่วยหญิงอายุ 52 ปี บ้านอยู่ กทม. ปกติแข็งแรงดี ไม่ไอ ไม่มีไข้ ไม่เบื่ออาหาร น้ำหนักไม่ลด ไม่ปวดหัว ไม่เคยสูบบุหรี่ ไม่มีโรคประจำตัว ไปตรวจร่างกายประจำปี วันที่ 12 พฤษภาคม 2567 เอกซเรย์ปอดพบก้อนเล็กๆเกิดขึ้นใหม่ที่ปอดขวากลีบบน เอกซเรย์ปอดก่อนหน้านั้น 1 ปีปกติ ทำคอมพิวเตอร์ปอดพบก้อนขนาด 0.9 × 0.9 × 1.7 เซนติเมตร เห็นโพรงอยู่ข้างในก้อนที่ปอดขวากลีบบน ตรวจเลือดไม่ติดเชื้อเอชไอวี ผู้ป่วยไปรับการผ่าตัดปอดเอาก้อนจากปอดขวากลีบบนออกที่โรงพยาบาลใกล้บ้านเมื่อวันที่ 22 พฤษภาคมเพราะสงสัยมะเร็งปอด ผลพยาธิวิทยาเป็นปอดอักเสบจากเชื้อราคริปโตคอคคัส ตรวจเลือดหาคริปโตคอคคัสแอนติเจนหลังผ่าตัด 4 วันให้ผลบวก titer 1:8 แพทย์เริ่มให้การรักษาด้วยยา fluconazole ผู้ป่วยมาขอคำแนะนำหลังจากนี้ควรทำอย่างไรต่อไป
ซักประวัติ มีนกพิราบอยู่แถวบ้านหลายตัว ให้อาหารนกพิราบประจำ ผู้ป่วยรายนี้หายใจสปอร์ของเชื้อราคริปโตคอคคัส นีโอฟอร์แมนส์ (Cryptococcus Neoformans) จากมูลนกพิราบเข้าไปในปอด ทำให้เกิดปอดอักเสบเป็นก้อนที่มีโพรงข้างใน โชคดีที่เชื้อราไม่ได้กระจายออกนอกปอดเนื่องจากร่างกายแข็งแรง มีภูมิคุ้มกันดี วางแผนให้ยาฆ่าเชื้อราฟลูโคนาโซลชนิดกินต่อไปประมาณ 6 เดือน แนะนำให้อยู่ห่าง และหลีกเลี่ยงให้อาหารนกพิราบ"




13 พฤษภาคม 2569
13 พฤษภาคม 2569