วันที่ 17 พฤษภาคม 2567 เวลา 21:09 น.
17 พ.ค. 2567 นพ.มนูญ ลีเชวงวงศ์ แพทย์ประจำโรงพยาบาลวิชัยยุทธ โพสต์เฟซบุ๊ก ยกเคสผู้ป่วยอายุ 87 ปี รายแรกในประเทศไทยที่สำลักแปะก๊วยทั้งเมล็ดโดยไม่ได้เคี้ยว จนเมล็ดแปะก๊วยลงไปอุดหลอดลม และต้องผ่าตัดเอาออก
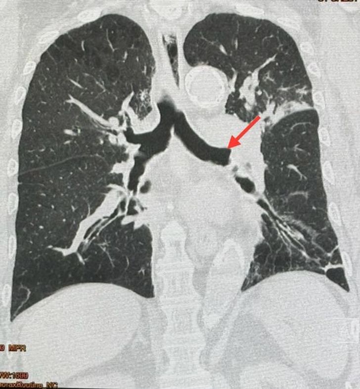
นพ.มนูญ ระบุว่า ผู้ป่วยชายอายุ 87 ปี เป็นโรคหัวใจ เบาหวาน ความดัน ไขมันในเลือดสูง โรคถุงลมโป่งพอง มีประวัติสำลักอาหารบ่อย ปลายเดือนมีนาคม 2567 เริ่มมีไข้ ไอ มีเสมหะ เอกซเรย์ปอดมีฝ้าขาวกลีบบนด้านซ้าย ให้ยาปฏิชีวนะรักษาปอดอักเสบติดเชื้อ ดีขึ้นชั่วคราว แล้วก็กลับมาเป็นซ้ำอีก จึงทำคอมพิวเตอร์ปอดวันที่ 25 เมษายน พบหลอดลมของปอดข้างซ้ายบนอุดตัน และปอดกลีบบนข้างซ้ายอักเสบและแฟบเล็กน้อย วันที่ 1 พฤษภาคม ได้ทำการส่องกล้องเข้าไปในหลอดลม เห็นสิ่งแปลกปลอมสีเหลืองผิวเรียบอุดปิดหลอดลมของปอดข้างซ้ายด้านบน ไม่สามารถคีบเอาสิ่งแปลกปลอมออกได้ ตัดชิ้นเนื้อก้อนนี้ส่งตรวจทางพยาธิวิทยา อ่านว่าเป็น “พืช”
ได้ปรึกษาศัลยแพทย์ผ่าตัดทรวงอก แนะนำทำการผ่าตัดเข้าไปในทรวงอกโดยการส่องกล้อง Video-Assisted Thoracic Surgery (VATS) เพื่อไปผ่าตัดเปิดหลอดลม bronchotomy เอาสิ่งแปลกปลอมออก
ได้ทำการผ่าตัดวันที่ 9 พฤษภาคม เมื่อผ่าตัดเปิดหลอดลมของปอดข้างซ้ายด้านบน พบสิ่งแปลกปลอมเป็นก้อนสีเหลืองพยายามคีบดึงไม่ออก ต้องบีบให้แตกเป็นชิ้นเล็กๆ แล้วจึงดึงออกมาได้ ก้อนนิ่มไม่แข็ง พบหนองในหลอดลมด้วย ให้ยาปฏิชีวนะรักษาปอดติดเชื้อตามความไวของเชื้อแบคทีเรียต่อยา ไม่พบเนื้องอกหรือมะเร็ง
ซักประวัติจากคนดูแล เมื่อวันที่ 11 มีนาคม 2567 ผู้ป่วยกินเมล็ดแปะก๊วย 1 ถ้วยเล็กๆ หลังกินมีสำลักบ้าง หลังจากนั้นปลายเดือนมีนาคมเริ่มมีปอดอักเสบจากการติดเชื้อต่อเนื่องถึงต้นเดือนพฤษภาคม
ผู้ป่วยสูงอายุโดยเฉพาะคนที่มีโรคหลอดเลือดสมอง มักมีปัญหาการกลืนอาหารทำให้เกิดการสำลัก ต้องระวังเป็นพิเศษ โดยเฉพาะน้ำหรือของเหลวทำให้เกิดการสำลักมากที่สุด ขณะกินอาหารไม่ควรพูดคุย เคี้ยวอาหารให้ละเอียดก่อนแล้วค่อยกลืน บางคนต้องสับอาหารให้ละเอียด มิฉะนั้นอาจสำลักอาหารลงในหลอดลมทำให้หลอดลมอุดตัน ปอดแฟบและปอดอักเสบติดเชื้อ ผู้ป่วยคนนี้น่าจะเป็นรายแรกในประเทศไทยที่สำลักแปะก๊วยทั้งเมล็ดโดยไม่ได้เคี้ยว เมล็ดแปะก๊วยลงไปอุดหลอดลม ต้องผ่าตัดเอาออก
.jpg)
.jpg)
.jpg)
3 กุมภาพันธ์ 2569
ดีอี ยืนยันข่าว ไทยพบผู้ป่วย โรคไข้นกแก้ว 1 ราย เป็นข่าวจริง
3 กุมภาพันธ์ 2569
CIB กวาดล้างสินค้าปลอมกว่า 10,000 ชิ้น มูลค่าความเสียหายนับล้านบาท
3 กุมภาพันธ์ 2569
ดีอี ยืนยันข่าว ไทยพบผู้ป่วย โรคไข้นกแก้ว 1 ราย เป็นข่าวจริง
3 กุมภาพันธ์ 2569
CIB กวาดล้างสินค้าปลอมกว่า 10,000 ชิ้น มูลค่าความเสียหายนับล้านบาท