วันที่ 15 มีนาคม. 2567 เวลา 10:38 น.
15 มีนาคม 2567 นพ.มนูญ ลีเชวงวงศ์ แพทย์เฉพาะทางด้านโรคระบบการหายใจ โรงพยาบาลวิชัยยุทธ โพสต์ข้อความผ่านเฟซบุ๊ก เตือนประชาชนให้ระมัดระวังการแพร่ระบาดของ "ไรโนไวรัส" ที่ปัจจุบันมีความรุนแรงมากขึ้น พร้อมยกตัวอย่างฟิล์มเอกซ์เรย์ของคนไข้หญิงสูงวัยอายุ 90 ปี ที่ติดเชื้อและมาทำการรักษา ช่วงนี้ไรโนไวรัส (Rhinovirus) กำลังแพร่ระบาดทั้งในเด็กและผู้ใหญ่รองจากไวรัสโควิดและไข้หวัดใหญ่ ที่น่าแปลกคือ ไรโนไวรัสไม่ใช่เล่นงานแต่ทางเดินหายใจส่วนบน ทำให้ป่วยเป็นโรคหวัดธรรมดาเหมือนแต่ก่อน ปัจจุบันไรโนไวรัสมีความรุนแรงมากขึ้น บางคนไอมากจนนอนไม่ได้ บางคนตาแดง บางคนเชื้อไรโนไวรัสเล่นงานทางเดินหายใจส่วนล่างลงหลอดลมและลงปอด ทำให้เกิดปอดอักเสบได้
ผู้ป่วยหญิงอายุ 90 ปี มีไข้ น้ำมูก เจ็บคอ ไอมาก มีเสมหะ 5 วัน ไม่เหนื่อย อยู่ใกล้ชิดกับลูกชายอายุ 70 ปี ป่วยเป็นไข้หวัด ผู้ป่วยมีโรคประจำตัว ความดัน ไขมัน โรคไตเสื่อม ไม่กินเหล้า ไม่สูบบุหรี่
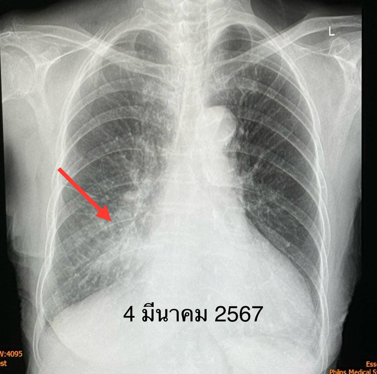
ตรวจร่างกาย อุณหภูมิ 38 องศาเซลเซียส ระดับออกซิเจนปกติ 96% ฟังปอดปกติ ส่งตรวจรหัสพันธุกรรม 22 สายพันธุ์ พบเชื้อไรโนไวรัส (Rhinovirus) เพียงตัวเดียวเอกซเรย์ปอดพบฝ้าขาวที่ปอดด้านขวาล่าง (รูปวันที่ 4 มี.ค.2567) เจาะเลือด เม็ดเลือดขาวปกติ ส่งเพาะเชื้อในเลือดไม่ขึ้นเชื้อแบคทีเรีย
วินิจฉัย : ปอดอักเสบจากเชื้อไรโนไวรัส (Rhinovirus) ให้ยาสเตียรอยด์ขนาดต่ำๆ 5 วัน ผู้ป่วยดีขึ้น ไม่มีน้ำมูก ไม่เจ็บคอ ไม่มีไข้ ไอลดลง เอกซเรย์ปอดฝ้าขาวลดลง (รูปวันที่ 8 มี.ค.2567) นอนในโรงพยาบาลทั้งหมด 5 วัน ติดตามหลังจากออกจากรพ. 5 วัน ไอน้อยลงมาก เอกซเรย์ปอดฝ้าขาวด้านขวาล่างลดลงอีก (รูปวันที่ 13 มี.ค.2567)
นอกจากนี้ นพ.มนูญ ยังเผยแพร่ข้อมูลระบาดวิทยา ในเดือน ก.พ.2567 ที่ผ่านมา ข้อมูลของ รพ.วิชัยยุทธ พบว่า ผู้ติดเชื้อไวรัสโควิดลดลงเหลือ 235 ราย ผู้ติดเชื้อไวรัสไข้หวัดใหญ่เดือนที่แล้วลดลงเหลือ 145 ราย เชื้อไรโนไวรัส (Rhinovirus) พบ 17 ราย เชื้อฮิวแมนเมตะนิวโมไวรัส (hMPV) ลดลงเหลือ 10 ราย เชื้ออาร์เอสวี (RSV) ลดลงเหลือ 4 ราย โรคไข้เลือดออกที่เกิดจากเชื้อไวรัสเดงกี่ลดลงเหลือ 13 ราย ไม่พบโรคชิคุนกุนยาหรือไข้ปวดข้อยุงลาย โรคไวรัสโนโร (Noro) และโรตา (Rota) ทำให้เกิดอาการท้องร่วงอย่างรุนแรงทั้งในเด็กและผู้ใหญ่ เดือน ก.พ. พบโนโรไวรัสยังสูง 29 ราย พบโรตาไวรัส 2 ราย การแพร่ระบาดของไวรัสโควิด-19 ไข้หวัดใหญ่ ไรโนไวรัส ไข้เลือดออก และโนโรไวรัสยังมีต่อเนื่อง ไวรัสโควิด-19 ยังแซงหน้าไวรัสไข้หวัดใหญ่ ส่วนไวรัส hMPV และ RSV ลดลงต่อเนื่อง
ช่วงนี้แนะนำคนทั่วไป ยกเว้นบุคลากรทางการแพทย์ หากป่วยด้วยโรคโควิด-19 ถ้าไม่มีไข้ 1 วัน โดยไม่ได้กินยาลดไข้ อาการดีขึ้นมากหรือไม่มีอาการเลย สามารถออกนอกบ้าน ไปทำงาน ไปเรียนหนังสือได้ ไม่จำเป็นต้องกักตัว 5 วัน แต่ยังต้องใส่หน้ากากอนามัยต่ออีก 5 วัน หมั่นล้างมือให้สะอาดทุกครั้ง เวลามือเปื้อนน้ำมูก ละอองเสมหะ เพื่อลดการแพร่เชื้อโรคไวรัสทางเดินหายใจให้ผู้อื่น
บุคลากรทางการแพทย์ยังต้องหยุดงานกักตัวที่บ้านอย่างน้อย 5 วัน คนทั่วไปควรใส่หน้ากากอนามัยเวลาอยู่ในสถานที่แออัดอากาศถ่ายเทไม่ดี และในสถานพยาบาล


8 ธันวาคม 2568
8 ธันวาคม 2568