วันที่ 12 กุมภาพันธ์ 2567 เวลา 08:52 น.
โควิดลดความรุนแรงลง แต่คนสูงอายุติดเชื้อเสี่ยงป่วยหนัก หมอมนูญยกเคสผู้ป่วยอายุ 95 ปี ติดเชื้อเข้า รพ. 2 รอบ ให้ยาต้านไวรัสแต่โควิดยังอยู่ในปอดทำให้ปอดอักเสบ มีพังผืดในปอด รักษานานร่วมเดือน
วันนี้ (12 ก.พ.67) นพ.มนูญ ลีเชวงวงศ์ แพทย์เฉพาะทางด้านโรคระบบการหายใจและผู้ป่วยหนัก ใช้พื้นที่เฟซบุ๊กส่วนตัวให้ข้อมูลเกี่ยวกับโรคโควิด-19 โดยระบุว่า ไวรัสโควิด-19 สายพันธุ์ปัจจุบันจะลดความรุนแรงลง เมื่อเทียบกับสายพันธุ์เดลตาเมื่อ 3 ปีก่อน ตาคนสูงอายุมีโรคประจำตัว มีภูมิคุ้มกันต่ำ ไม่เคยได้รับวัคซีนป้องกันโควิด เมื่อติดเชื้อสายพันธุ์ปัจจุบัน ก็อาจป่วยหนักได้ เกิดปอดอักเสบรุนแรง บางคนเกิดพังผืดในปอด (lung fibrosis) ตามมา
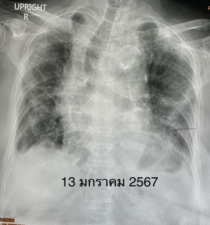
หมอมนูญได้ยกเคสผู้ป่วยหญิง อายุ 95 ปี เคยป่วยเป็นมะเร็งต่อมน้ำเหลืองเมื่อ 5 ปีก่อน รักษาหายแล้ว มีโรคประจำตัวเป็นโรคความดัน ไม่เคยติดเชื้อโควิด และไม่เคยฉีดวัคซีนป้องกันโรคโควิดแม้แต่เข็มเดียว ต่อมาพบว่ามีไข้ ไอมีเสมหะ เหนื่อย ระดับออกซิเจนที่ปลายนิ้วต่ำ 89% ตรวจ ATK ให้ผลบวก เอกซเรย์ปอดมีฝ้าขาวทั้ง 2 ข้าง
แพทย์วินิจฉัยว่า ปอดอักเสบจากไวรัสโควิด-19 ให้เข้านอนรักษาในโรงพยาบาล เมื่อวันที่ 14 ธ.ค.66 ให้ออกซิเจน 6 ลิตร/นาที ให้ยาฉีดเรมเดซิเวียร์และยากินแพ็กซ์โลวิดพร้อมกัน 5 วัน และยาสเตียรอยด์ คนไข้ดีขึ้นช้าๆ แพทย์ให้กลับบ้านได้ในวันที่ 24 ธ.ค.66 (รักษานาน 10 วัน) หลังกลับบ้านเพียง 1 วัน ผู้ป่วยมีอาการเหนื่อย และมีไข้ขึ้นอีก ตรวจ ATK ให้ผลลบ แต่ผลส่งตรวจรหัสพันธุกรรมยังพบไวรัสโควิด-19 เอกซเรย์ปอดมีฝ้าขาวเพิ่มขึ้น และปอดขนาดเล็กลง
การรักษาในรอบที่ 2 แพทย์วินิจฉัยว่าไวรัสโควิด-19 ยังอยู่ในปอดก่อให้เกิดปอดอักเสบและพังผืดในปอด ให้ออกซิเจน 6 ลิตร/นาที ให้ยาต้านไวรัส 3 ชนิดพร้อมกัน คือยาฉีดเรมเดซิเวียร์ ยากินแพ็กซ์โลวิด และโมลนูพิราเวียร์นาน 5 วัน และให้ยาสเตียรอยด์ ทำคอมพิวเตอร์ปอดเห็นปอดขนาดเล็กลง มีฝ้าขาวพังผืดทั้ง 2 ข้าง มีถุงลมพองและพังผืดดึงรั้งให้หลอดลมโป่งพอง มีน้ำในเยื่อหุ้มปอดเล็กน้อย ทำอัลตราซาวด์หัวใจEchocardiogram พบความดันของหลอดเลือดแดงในปอดปกติ คนไข้ดีขึ้น เหนื่อยน้อยลง เอกซเรย์ปอดดีขึ้นช้าๆ ลดการให้ออกซิเจนลงได้เหลือ 2 ลิตร/นาที แพทย์ให้กลับบ้านได้วันที่ 8 ก.พ.67



3 กุมภาพันธ์ 2569
ดีอี ยืนยันข่าว ไทยพบผู้ป่วย โรคไข้นกแก้ว 1 ราย เป็นข่าวจริง
3 กุมภาพันธ์ 2569
CIB กวาดล้างสินค้าปลอมกว่า 10,000 ชิ้น มูลค่าความเสียหายนับล้านบาท
3 กุมภาพันธ์ 2569
ดีอี ยืนยันข่าว ไทยพบผู้ป่วย โรคไข้นกแก้ว 1 ราย เป็นข่าวจริง
3 กุมภาพันธ์ 2569
CIB กวาดล้างสินค้าปลอมกว่า 10,000 ชิ้น มูลค่าความเสียหายนับล้านบาท